장상피화생이 암으로 변하는 기간, 장상피화생이면 무조건 위암?

장상피화생이 암으로 변하는 기간은 보통 10~20년 정도 걸리는 만성 과정으로, 헬리코박터균 감염과 만성 염증이 주요 원인입니다. 이 글에서는 장상피화생의 진행 단계를 자세히 살펴보고, 정기 검진으로 위험을 줄이는 실용적인 방법을 알려드려요. 📌 위 건강을 지키는 첫걸음이 될 거예요.
건강검진에서 위내시경 결과를 받다 보면 '장상피화생'이라는 단어가 눈에 띄는 경우가 많아요. 저도 몇 년 전 제 지인의 경험을 통해 이 용어를 처음 알게 됐는데, 그때부터 위 건강에 신경 쓰게 됐죠.
장상피화생이 암으로 변하는 기간에 대한 궁금증이 크신 분들을 위해, 제가 여러 자료를 모아 자연스럽게 풀어보려 해요. 이 변화는 갑자기 오는 게 아니라 오랜 시간 쌓인 결과라서, 미리 알면 충분히 관리할 수 있답니다. 😊
장상피화생이란 무엇일까?






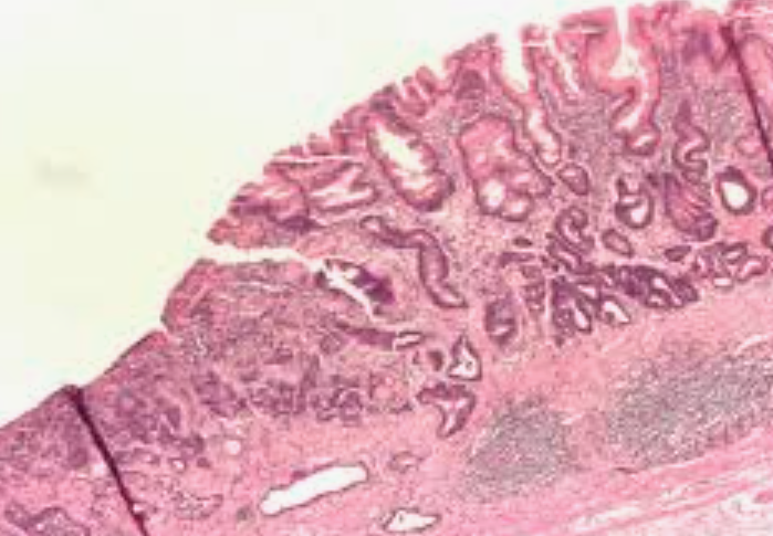
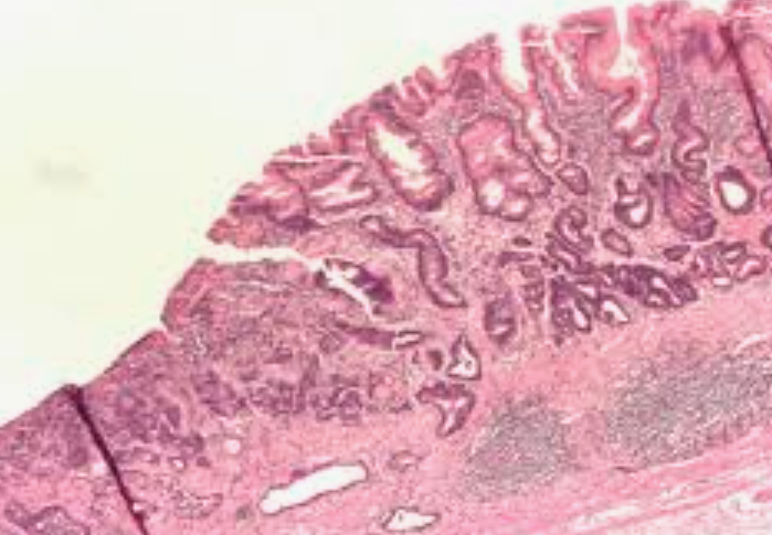
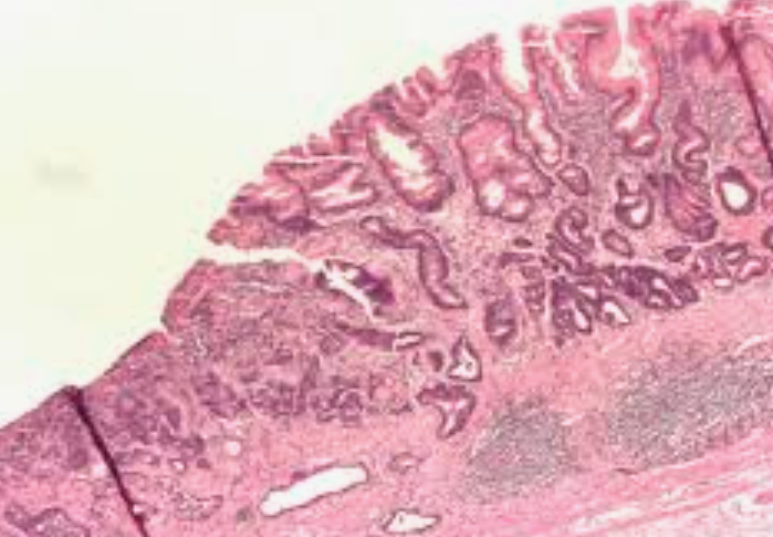
장상피화생은 위 점막 세포가 장 점막처럼 변하는 현상을 말해요. 만성 염증으로 위가 손상되다 보니, 재생 과정에서 원래 세포 대신 소장이나 대장 세포가 자리 잡는 거죠.
이게 쌓이면 위의 정상 기능이 떨어지면서 소화불량이나 식욕 저하 같은 증상이 슬쩍 나타날 수 있어요. 특히 우리나라처럼 매운 음식과 짠 반찬이 일상인 곳에서 흔히 볼 수 있는 상태예요.
가장 큰 원인은 헬리코박터균 감염이에요. 이 균이 위벽을 자극해 염증을 일으키고, 시간이 지나면서 장상피화생으로 이어지죠. 고령화나 불규칙한 식습관도 한몫해요. 연구에 따르면, 40대 이상에서 점점 증가하는 추세라서 주기적인 검사가 필수예요.
소화가 잘 안될때 나타나는증상
소화가 잘 안될때 나타나는증상은 단순 복통, 더부룩함뿐만 아니라 두통, 피로감 등 다양합니다. 내 몸이 보내는 이상 신호를 정확히 파악하고 원인별 해결법까지 명쾌하게 알려드릴게요. 누구
mk.date.or.kr
장상피화생이 암으로 변하는 기간은 얼마나 걸릴까?









장상피화생이 암으로 변하는 기간은 개인차가 크지만, 보통 10~20년 정도의 장기 과정이에요. 급격한 변화가 아니라, 만성 위염 → 위축성 위염 → 장상피화생 → 이형성 → 위암으로 천천히 진행되죠.
국내 연구에서 9.4년 추적 관찰 결과, 장상피화생 환자의 위암 발생률이 10.9배 높았지만, 이는 절대적인 확률이 아니라 위험도가 증가한다는 의미예요. 저처럼 평소 위 건강을 신경 쓰는 사람이라면, 이 기간 동안 충분히 예방할 여지가 있어요. 💡
초기 염증부터 암까지는 수십 년이 걸릴 수 있지만, 장상피화생 단계에서 암으로 넘어가기까지는 5~10년 정도 소요된다는 보고가 많아요. 최근 2023년 국제 연구에서는 SOX9 유전자 돌연변이가 이 과정을 가속화한다고 밝혀졌어요.
하지만 모든 경우가 암으로 가는 건 아니에요 – 정기 관찰로 멈출 수 있답니다.
| 진행 단계 | 예상 기간 | 위험도 증가 |
|---|---|---|
| 만성 위염 | 수년 ~ 10년 | 기본 |
| 장상피화생 | 5~15년 누적 | 6~10배 |
| 이형성 → 위암 | 2~5년 | 고위험 |
이 표처럼 단계별로 보면, 장상피화생이 암으로 변하는 기간을 미리 파악하고 대처할 수 있어요. 실제로 제 주변에서 장상피화생 진단 후 매년 검사를 받으며 건강을 유지하는 분들이 많아요.



장상피화생 관리를 위한 실천 팁
장상피화생이 암으로 변하는 기간을 늦추거나 막기 위해선 헬리코박터균 제균 치료가 핵심이에요. 양성이라면 즉시 치료받고, 매년 위내시경 검사를 추천해요.
식단도 중요하죠 – 짠 음식 줄이고, 과일·채소 늘리면 위 점막이 보호된답니다. 흡연이나 과음은 피하는 게 상책이에요. 이러한 습관으로 장상피화생 진행을 20~30% 줄일 수 있다는 연구 결과도 있어요. ✅
암보험 가입순위 비교 가입 전 체크리스트
암보험 가입순위 비교를 고민 중이신가요? 2025년 기준 비갱신형 상품 중심으로 보장 범위와 보험료를 꼼꼼히 분석하고, 암보험 가입 전 체크리스트를 통해 건강 상태와 가족력을 고려한 맞춤 설
mk.date.or.kr
자주 묻는 질문 (FAQ)









Q1: 장상피화생 진단 후 바로 치료해야 하나요?
A: 특별한 약물 치료보다는 헬리코박터균 확인 후 제균이 우선이에요. 매년 내시경으로 관찰하며 진행 여부를 봐요. 초기라면 생활 습관 변화만으로 충분할 수 있어요.
Q2: 장상피화생이 암으로 변하는 기간 동안 증상이 없을 수 있나요?
A: 네, 대부분 무증상이에요. 그래서 정기 검진이 생명줄이죠. 소화불량이 느껴지면 바로 병원 방문하세요.
Q3: 가족력 있으면 더 빨리 변하나요?
A: 위암 가족력이 있으면 위험도가 2배 이상이에요. 6개월~1년 주기 검사를 권해요. 유전자 검사도 고려해보세요.
장상피화생이 암으로 변하는 기간은 길지만, 무시할 수 없어요. 오늘부터 위 건강을 챙기며 작은 변화를 실천해보세요. 정기 검진 하나로 큰 차이를 만들 수 있답니다. 건강한 하루 되세요! 😊